Direct composites vs Indirect ceramic onlays: A posterior decision making masterclass
Direct composites vs Indirect ceramic onlays: A posterior decision making masterclass
Elevate education and Smile Dental Academy bring you the two day course. This course will reset the foundations for clinicians in daily decision making for posterior teeth. We will discuss the evidence-based criteria for when to go direct and when to opt for a more predictable indirect solution to help remove confusion.
This innovative course covers a full workflow from modern cavity designs for adhesive restorations, preparations for minimal onlays, adhesive protocols, deep margin elevation, isolation and cementation. Occlusal principles are also covered for improved accuracy when refining post operative contact points to ensure long term predictable and aesthetic results.
2 Day Hands On Course
14 hours CPD
£595 per day + VAT
-

2 Days Interactive Course
2 Days Course Hands On Course
-

Timings
9am Registration
5pm Finish
-

£595 + vat
Includes Coffee, Refreshments and Lunch
-

Verifiable CPD Certificate
14 hours verifiable CPD
-

London
Watford Smile Clinic WD25 7NL
Course Highlights:
CPD: 16 Hours
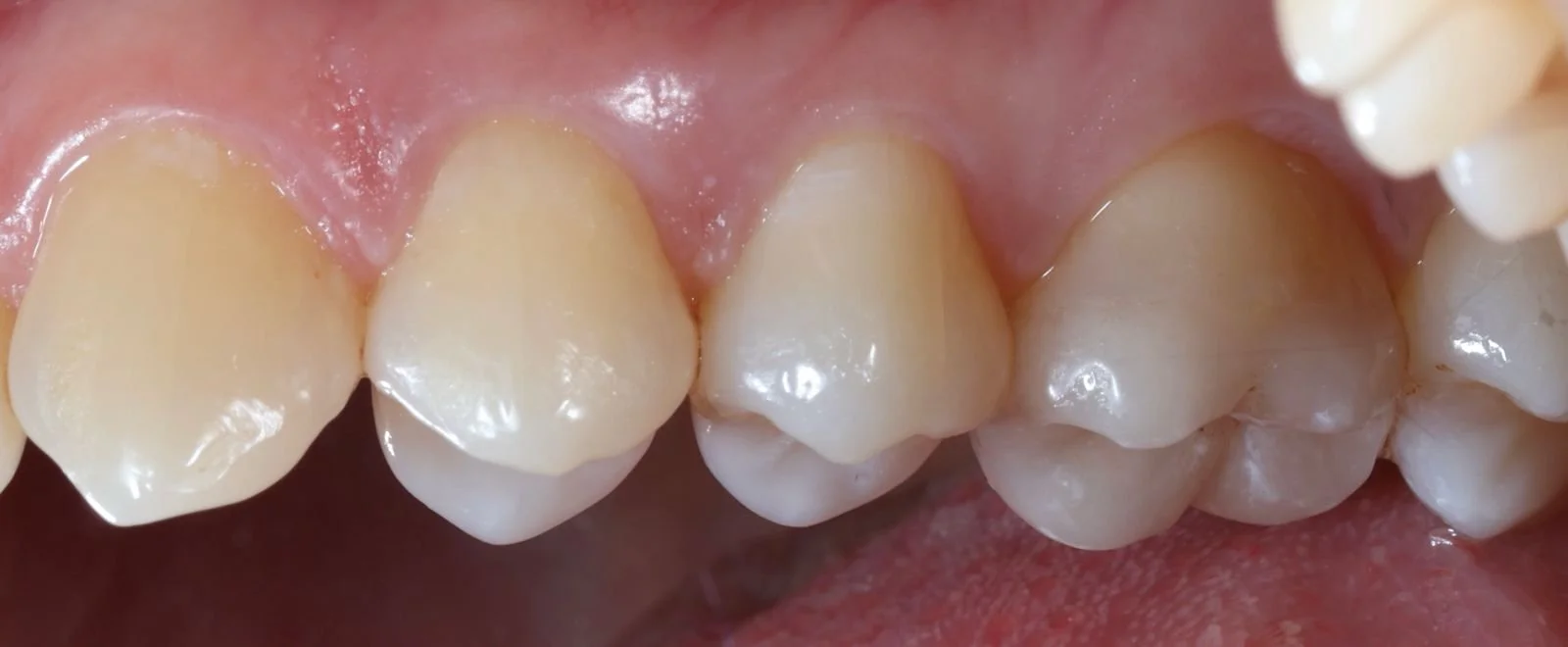
This 2 day course will reset the foundations for clinicians in daily decision making for posterior teeth. We will discuss the evidence-based criteria for when to go direct and when to opt for a more predictable indirect solution to help remove confusion. This innovative course covers a full workflow from modern cavity designs for adhesive restorations, preparations for minimal onlays, adhesive protocols, deep margin elevation, isolation and cementation. Occlusal principles are also covered for improved accuracy when refining post operative contact points to ensure long term predictable and aesthetic results
Day 1- Agenda and Aims and Objectives
Treatment planning, occlusion and criteria for direct or indirect posterior restorations
Cavity design for modern composite restorations and utilising sectional matrices bands
Adhesive principles and clear protocols for reduced failure rates
Simplified layered single shade build up and occlusal adjustments with precision
Hands on training on all aspects covered above
Day 2- Agenda and Aims and Objectives
Preparation protocols for functional indirect posterior onlays (FIPO)
Immediate dentine sealing and deep margin elevation principles
Mini core build up and scanning/record taking tips
Cementation of ceramic onlays with light cured materials for ultimate aesthetics and strength
Hands on preparation for FIPO, and cementing an onlay with light cured materials for a full workflow practice
Our Lectures
Dr Nik Sethi
Dr Sanj Sethi
Dr Riaz Yar
2 Days Course
WHY CHOOSE US?
Our Academy and team have won multiple awards in the Dental Industry with most notably Dental Brand of the Year and Best Course of the Year.
All of our experienced lecturers offer 1 to 1 support. Making sure the learning is centred around you and your clinical practice.
Learn the most contemporary techniques in anterior composites. Grow as a clinician. Excel in your career.
RESERVE YOUR PLACE NOW ON OUR AWARD WINNING COURSES